Paciente De 42 años de edad que acude a la consulta por dolor lumbar sin irradiación y sin ningun otro trastorno
En sus antecedentes consta que hace 20 años, es operado de una discopatía lumbo-sacra que no sabe su loalizacion.
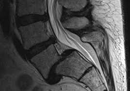
La nueva resonancia muestra esta enorme listesis o luxacion de S1 sobre S2, y cuya terapia se hace difícil sobre todo en un paciente con escasas molestias.
Caben toda clase de disquisiciones sobre todo sin conocer claramente todos sus antecedentes.
Lo unico que puede pensarse en una anomalía de transición donde existia una listesis y al quitar el disco
S1 – S2, se ha resbalado ambos segmentos hasta llegar a la topsis del sacro.
ESPONDILOLISTESIS. TOPSIS SACRA
Suscríbete
Login
0 Comments